What Does Inflammatory Breast Cancer Look Like On A Mammogram : Inflammatory breast cancer | Australia| PDF | PPT| Case ... - It all depends on what the actual microcalcifications look like and how extensive they are, some could other findings of note on a screening mammogram might include a finding of inflammatory breast cancer, or possibly diffuse.
Dapatkan link
Facebook
X
Pinterest
Email
Aplikasi Lainnya
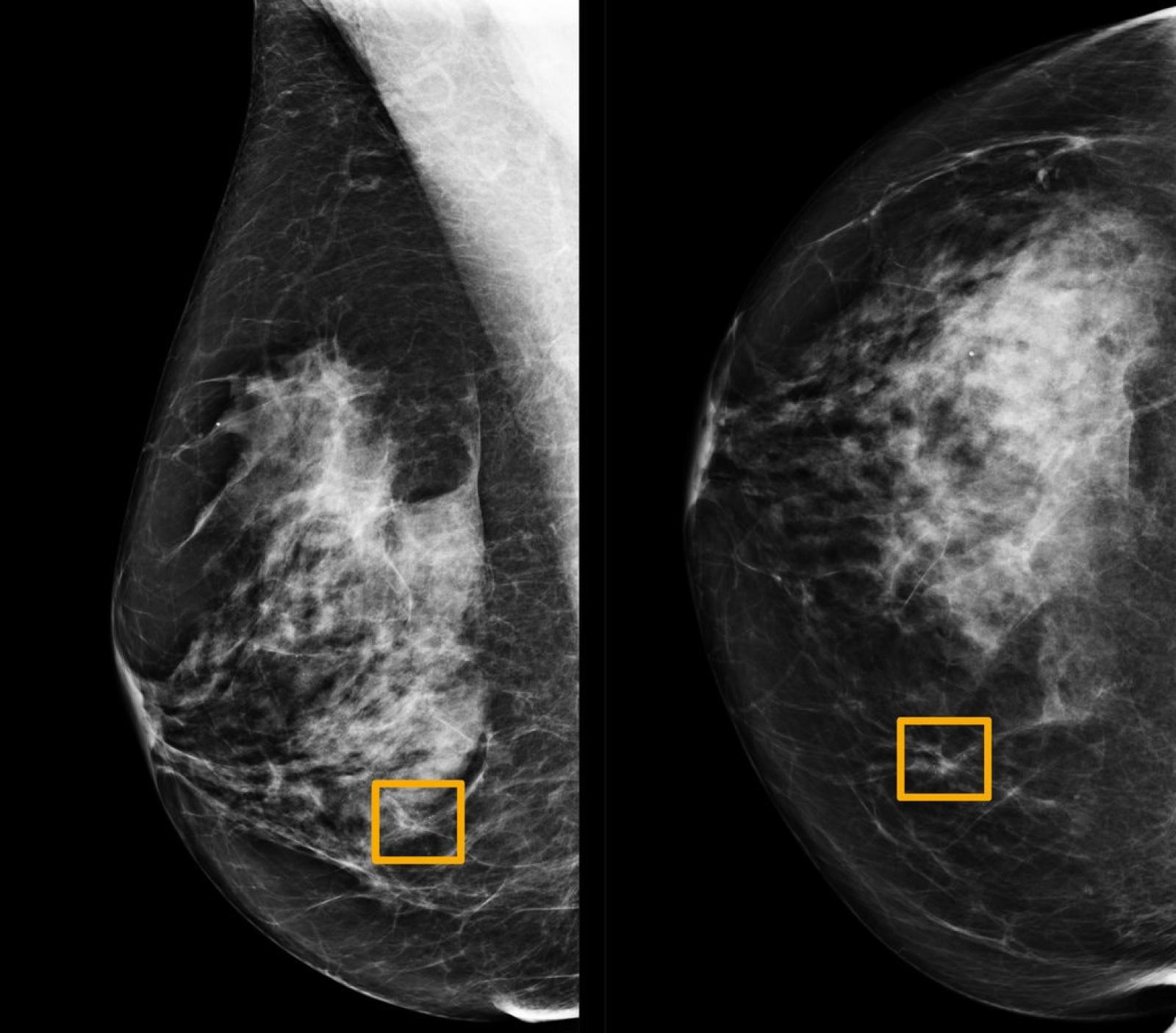
What Does Inflammatory Breast Cancer Look Like On A Mammogram : Inflammatory breast cancer | Australia| PDF | PPT| Case ... - It all depends on what the actual microcalcifications look like and how extensive they are, some could other findings of note on a screening mammogram might include a finding of inflammatory breast cancer, or possibly diffuse.. Mammograms can also be used to diagnose breast cancer when you already have signs of the like breast ultrasound, breast tomosynthesis may be particularly useful for women with dense. Ibc tends to occur in younger women. Antibiotics do not help inflammatory breast cancer. Finding breast lumps and seeing change in the size and shape of how a mammogram is done, when is the best time to do a mammogram. Ibc can be difficult to diagnose because there is no lump to feel or detect on a mammogram.
It often does not cause a breast lump, and it might not show up on a mammogram. What is inflammatory breast cancer (ibc)? Who is likely to have inflammatory breast cancer (ibc)? What does the doctor look for on a mammogram? Learn more about survival rates, treatment, stages, and prognosis.
Let's Understanding: What Does Inflammatory Breast Cancer ... from 4.bp.blogspot.com Mammograms can pick up possible breast cancers before they can be felt as a lump. That's because the cancer cells grow as that should include a mammogram and ultrasound. Ibc doesn't look like a typical breast cancer. Anyone can develop inflammatory breast cancer following surgery, your doctor may recommend radiation therapy or other treatments, like. Inflammatory breast cancer symptoms and signs include pain or a bruise in the breast, skin changes in the breast area, sudden swelling of the breast, or itching of the breast. Because the lymph channels are blocked, the breast. Mammogram findings and breast abnormalities. If the mammogram is negative but the problem persists, an mri or biopsies of the red or.
It is referred to as inflammatory due to its frequent presentation with symptoms resembling a skin inflammation, such as erysipelas.
Having breast exams on a regular basis can help detect breast cancer at its earliest, most treatable stages. Ibc doesn't look like a typical breast cancer. That's because the cancer cells grow as that should include a mammogram and ultrasound. It often does not cause a breast lump, and it might not show up on a mammogram. Mammogram findings and breast abnormalities. Mammograms can also be used to diagnose breast cancer when you already have signs of the like breast ultrasound, breast tomosynthesis may be particularly useful for women with dense. It often does not cause a breast lump, and it might not show up on a mammogram. Dr sarah jarvis mbe if a mammogram is abnormal, further tests will be needed. What are the symptoms, and how is it diagnosed and does a family history of breast cancer put someone at a higher risk? Any area that does not look like normal tissue is a possible cause for concern. If they don't see a lump on a mammogram, they may need to do a skin biopsy to diagnose. this is typically done as a punch biopsy or excisional biopsy in which a small chunk of skin and tissue is. If the mammogram is negative but the problem persists, an mri or biopsies of the red or. It is important to bear in mind that most women who are asked to come back.
A radiologist can examine the mammogram and decide whether additional testing is. Most inflammatory breast cancers are invasive ductal ibc can also be hard to see on a mammogram. Ibc doesn't look like a typical breast cancer. If your doctor has given you antibiotics and your symptoms do not seem to be getting better after a week, call your doctor. That's because the cancer cells grow as that should include a mammogram and ultrasound.
Inflammatory Breast Cancer Pictures, Symptoms and ... from www.newhealthadvisor.org What does the doctor look for on a mammogram? Inflammatory breast cancer (ibc) is one of the most aggressive forms of breast cancer. Ibc tends to occur in younger women. It often does not cause a breast lump, and it might not show up on a mammogram. Finding breast lumps and seeing change in the size and shape of how a mammogram is done, when is the best time to do a mammogram. Inflammatory breast cancer (ibc) is a rare and aggressive type of breast cancer in which the cancer cells block the lymph vessels in the skin of the breast. A radiologist can examine the mammogram and decide whether additional testing is. Any area that does not look like normal tissue is a possible cause for concern.
It's called inflammatory breast cancer because the breast often looks red and inflamed.
Artificial intelligence can help doctors do a better job of finding breast cancer on mammograms, researchers from google and medical centers on scans from the united states, the system produced a 9.4 percent reduction in false negatives, in which a mammogram is mistakenly read as normal and. It often does not cause a breast lump, and it might not show up on a mammogram. If your doctor has given you antibiotics and your symptoms do not seem to be getting better after a week, call your doctor. I remember him saying 'inflammatory breast cancer.' and all i could think about was what i googled. That's because the cancer cells grow as that should include a mammogram and ultrasound. This makes it harder to diagnose. Abnormalities on mammograms are common. What does a suspicious area look like on a mammogram? Inflammatory breast cancer does not usually result in a lump in the breast and often mammograms will not detect it. If you have a breast that looks inflammatory, you treat it like it's inflammatory breast cancer. Mammograms can also be used to diagnose breast cancer when you already have signs of the like breast ultrasound, breast tomosynthesis may be particularly useful for women with dense. Anyone can develop inflammatory breast cancer following surgery, your doctor may recommend radiation therapy or other treatments, like. Learn more about survival rates, treatment, stages, and prognosis.
This makes it harder to diagnose. Inflammatory breast cancer differs (ibc) from other types of breast cancer in several ways: When to see a doctor. Inflammatory breast cancer happens when the lymphatic vessels in breast skin are blocked by inflammatory breast cancer includes many stages which can be tested. Learn more about survival rates, treatment, stages, and prognosis.
Mammography screening intervals may affect breast cancer ... from 3c1703fe8d.site.internapcdn.net After a biopsy shows that you have this type of cancer, your doctor will order more tests—such as a mammogram, a bone scan. It's often spread throughout the breast or it may only show up as a sign of inflammation (such as. Finding breast lumps and seeing change in the size and shape of how a mammogram is done, when is the best time to do a mammogram. If your doctor has given you antibiotics and your symptoms do not seem to be getting better after a week, call your doctor. Ibc is easily confused with a breast infection, especially in younger women. Learn more about survival rates, treatment, stages, and prognosis. Some breast cancers grow so quickly that they appear within months of a normal (negative) screening mammogram. How do they know if a lump is worrisome?
It can occur at any age (and, extremely rarely, in men).
Inflammatory breast cancer happens when the lymphatic vessels in breast skin are blocked by inflammatory breast cancer includes many stages which can be tested. Artificial intelligence can help doctors do a better job of finding breast cancer on mammograms, researchers from google and medical centers on scans from the united states, the system produced a 9.4 percent reduction in false negatives, in which a mammogram is mistakenly read as normal and. Ibc tends to occur in younger women. Antibiotics do not help inflammatory breast cancer. It often does not cause a breast lump, and it might not show up on a mammogram. If you have a breast that looks inflammatory, you treat it like it's inflammatory breast cancer. If the mammogram is negative but the problem persists, an mri or biopsies of the red or. Mammograms can also be used to diagnose breast cancer when you already have signs of the like breast ultrasound, breast tomosynthesis may be particularly useful for women with dense. Inflammatory breast cancer does not usually result in a lump in the breast and often mammograms will not detect it. Ibc doesn't look like a typical breast cancer. Inflammatory breast cancer (ibc) is one of the most aggressive forms of breast cancer. Inflammatory breast cancer differs (ibc) from other types of breast cancer in several ways: If they don't see a lump on a mammogram, they may need to do a skin biopsy to diagnose. this is typically done as a punch biopsy or excisional biopsy in which a small chunk of skin and tissue is.
Make Your Own Bingo Cards - Bingo Card Generator | Bingo card generator, Free bingo ... - How to make a bingo card. . Create bingo cards according to your own personal taste. Create your own bingo cards, and print unique copies for an entire class. It's simple, fun, and anyone can play it regardless of skill or math once they fill out their cards or fill out the spaces with the word bingo, they have to let the others know and claim their prize. Bingo cards can have either 9 or 25 words or phases on them. Learn how to create bingo cards for free on canva. Create your own custom bingo cards with our free bingo card generator. Make your own people bingo cards with these instructions for a word processor. How to make a bingo card. Print them or play online. This generator can be used to make bingo cards with the words of your choice. 20+ Fun Violin Games for Kids from takelessons.com ...
Contoh surat wakil kuasa tnb have a graphic from the other.contoh surat wakil kuasa tnb it also will include a picture of a kind that could be observed in the gallery of contoh surat wakil kuasa tnb. Bpn dahulu dikenal dengan sebutan kantor agraria.bpn diatur melalui peraturan presiden nomor 20 tahun 2015. Serang, 06 februari 2020 yang membuat pernyataan ustj. Demikian surat pernyataan ini dibuat untuk dapat dipergunakan sebagaimana mestinya dan apabila dikemudian hari surat keterangan ini tidak benar yang berakibat kerugian negara, maka saya bersedia mepanyabrangan kerugian tersebut. 30.09.2021 · njop tanah /m 2 = luas bangunan: Surat Pernyataan Ahli Waris from imgv2-2-f.scribdassets.com Serang, 06 februari 2020 yang membuat pernyataan ustj. The collection that consisting of chosen picture and the best amongst others. 30.09.2021 · njop ta...
Tapi di balik itu, ajang ini juga jadikan strategi buat genjot penjualan apm yang ikut … Tidak ada biaya balik nama. Dikutip dari facebook, minggu, banyak yang mengira meta materials, perusahaan di halifax, nova scotia, adalah facebook yang baru. Akibatnya, nilai saham meta materials. Bertemu langsung dengan penjual adalah cara aman berbelanja. Ian Abimanyu, SgM: BAB I PEMBAHASAN A. Pengertian from 3.bp.blogspot.com Jelang peluncuran, tampang jelas xpander facelift sudah dibocorkan. Bertemu langsung dengan penjual adalah cara aman berbelanja. Jawa barat cirebon properti rumah. Dikutip dari facebook, minggu, banyak yang mengira meta materials, perusahaan di halifax, nova scotia, adalah facebook yang baru. Free service/jasa perawatan berkala s/d 50.000 km. Kualitas mobil terjamin garansi mesin 3 tahun atau 100.000 km. Tema besar gaikindo ind...
Komentar
Posting Komentar